Az alábbi fotók a klinikánkon végzett beavatkozások során készültek. A képekhez rövid leírást is mellékelünk, hogy pontosítsuk a hozzánk forduló páciensek panaszait és a kezelések típusát. Az itt publikált esetek mindegyike Dr. Kelemen Péter és a Symbion Fogtechnika közös munkája.
Az alábbi fotók a klinikánkon végzett beavatkozások során készültek. A képekhez rövid leírást is mellékelünk, hogy pontosítsuk a hozzánk forduló páciensek panaszait és a kezelések típusát. Az itt publikált esetek mindegyike Dr. Kelemen Péter és a Symbion Fogtechnika közös munkája.
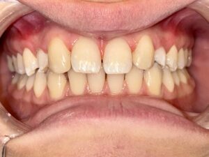
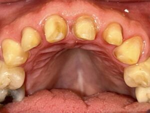
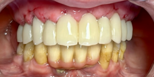
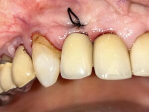
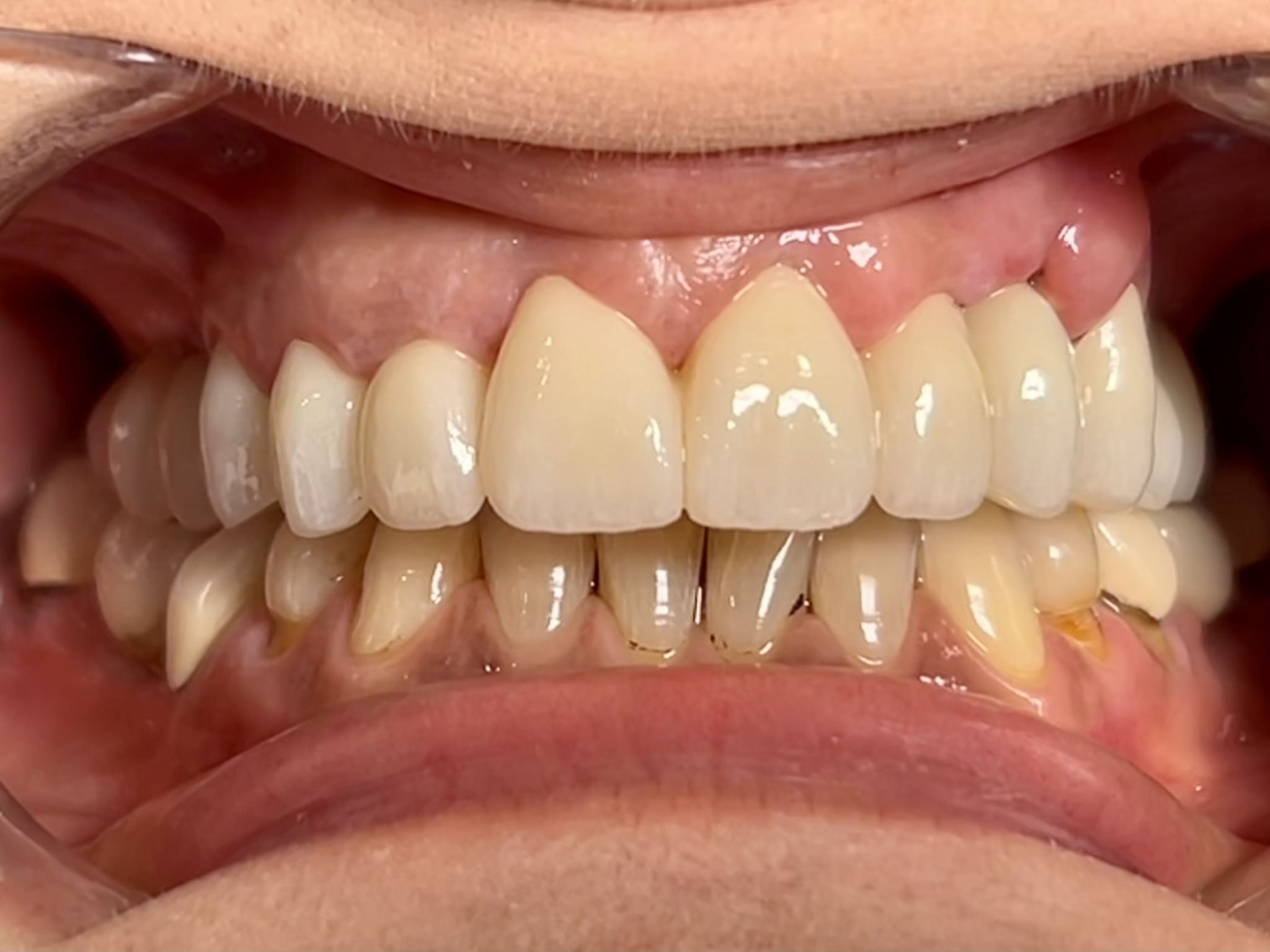
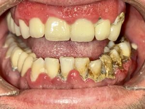
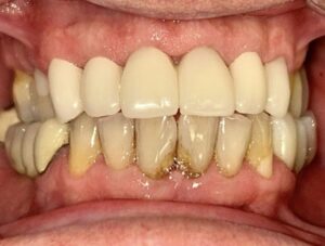
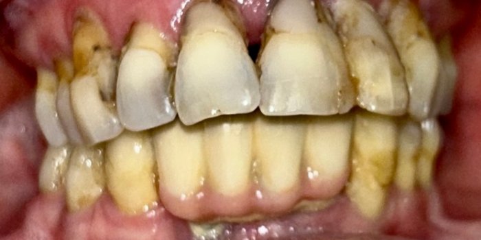
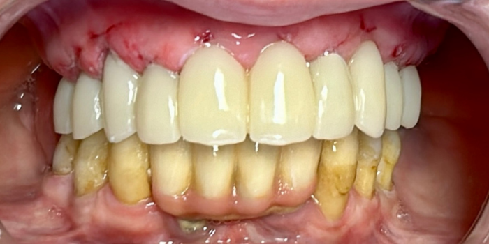
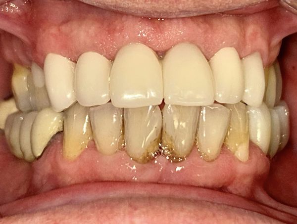
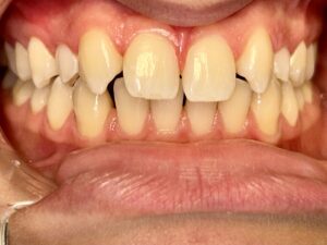
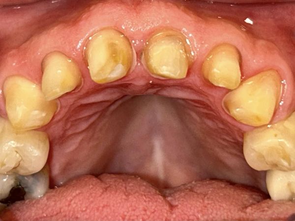
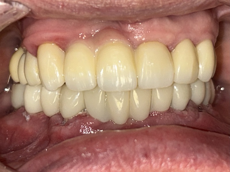
A páciens a kopott, elszineződött és szabálytalan felső front fogainak a rendbetétele miatt keresett meg bennünket. Abban állapodtunk meg, hogy fémmentes koronákkal látjuk el a felső első 6 fogat, mert tömésekkel már nem lehet őket esztétikusan és tartósan felépíteni. A tervezés után 4-szeres nagyítás alatt preparáltuk a fogakat a koronákhoz, hogy minél pontosabban illeszkedjenek majd egymáshoz. A csiszolás után digitális lenyomatot vettünk, azaz beszkenneltük a preparált fogakat. A technikus a szkennelt minta alapján először műanyag ideiglenes koronákat készített, hogy az új mosolyt ellenőrizni tudjuk, majd csak ez után készült el a végleges cirkónium munka.
